SOMMAIRE
Les anomalies du développement des dents permanentes peuvent être dues à un traumatisme des dents primaires, étant donné la proximité de la racine des dents primaires avec les dents permanentes sous-jacentes. Nous décrivons le cas d'un garçon de 14 mois qui a été dirigé vers la clinique pédiatrique de l'École de médecine dentaire de l'Universidad Estadual Paulista d'Araçatuba, au Brésil, après avoir subi un grave traumatisme qui a causé l'intrusion de l'incisive centrale droite primaire. L'examen radiographique réalisé 4 ans après le traumatisme a révélé un changement morphologique évolutif dans le germe de la dent permanente. Au moment de son éruption, l'incisive centrale permanente présentait une malformation coronaire avec hypoplasie de l'émail. Nous avons conclu qu'un suivi radiographique est indiqué après un traumatisme afin de surveiller les séquelles qui peuvent survenir dans les dents permanentes, même avant leur éruption.
Introduction
Les lésions traumatiques des dents primaires sont fréquentes et s'observent chez 15 % à 30 % des enfants1,2. Bien qu'il s'agisse parfois de petites fractures coronaires, les luxations sont plus fréquentes en raison de la souplesse du squelette facial et du ligament parodontal, du volume important des dents par rapport aux os dans la dentition primaire et mixte et des racines plus courtes des dents primaires3.
La perturbation du développement du germe des incisives permanentes, à la suite d'un traumatisme des dents primaires, est habituellement liée à un traumatisme en intrusion4,5, conséquence d'un impact en direction axiale qui provoque le déplacement de la dent dans son alvéole6. La prévalence des anomalies du développement des dents permanentes consécutives à un traumatisme en intrusion varie de 18 % à 69 %4,7.
L'intrusion sévère des dents primaires et l'envahissement du germe qui se développe, durant les premières phases de l'odontogenèse alors que l'enfant est âgé de 1 à 3 ans, peuvent entraîner la malformation du germe de la dent permanente4,8. Ceci se produit durant la formation des tiers médial et incisif de la matrice amélaire de la dent permanente. Le déplacement de la racine de la dent primaire peut également modifier le développement de la dent permanente en altérant la phase sécrétoire des améloblastes5 ou, durant des phases subséquentes, en nuisant au processus de formation radiculaire7.
Le but du diagnostic et du traitement des lésions traumatiques des dents primaires est de soulager la douleur et de prévenir les séquelles dans le germe des dents permanentes qui se développe4,7. Le traitement idéal de l'enfoncement d'une dent primaire à la suite d'un traumatisme ne fait pas l'unanimité et, jusqu'à maintenant, les traitements ont été basés sur les études de cas cliniques9,10, les opinions d'experts11,12 et le recensement de la littérature7,13-16.
Cet article présente un cas de traumatisme buccodentaire dans la dentition primaire et ses conséquences sur le développement du germe des dents permanentes.
Étude de cas
Un garçon de 14 mois a été dirigé vers la clinique de pédiatrie de l'École de médecine dentaire de l'Université Estadual Paulista d'Araçatuba, au Brésil, 20 minutes après avoir été victime d'un traumatisme dentaire. L'enfant était dans l'ensemble en bonne santé et n'avait pas de problèmes neurologiques. Ses parents ont indiqué que l'enfant était tombé sur le sol.
L'examen intrabuccal a révélé la présence d'un caillot de sang dans la région alvéolaire de l'incisive centrale supérieure droite primaire (dent 51), ainsi qu'une importante lacération de la muqueuse palatine (ill. 1a). À la palpation, une surface durcie a été perçue dans la région linguale. L'examen radiographique (ill. 1b) a révélé une intrusion marquée de la dent 51 avec luxation linguale.

Ill. 1 : Premier examen : a) vue clinique de la zone atteinte; b) aspect radiologique de la dent enfoncée.
Une anesthésie d'infiltration locale a été pratiquée sur les faces labiale et buccale de la dent, puis la dent a été replacée en direction labiale par pression de la main. Le caillot a ensuite été retiré, révélant la couronne de la dent enfoncée. La fermeture des tissus a été pratiquée par suture proximale de la dent atteinte. Il a été décidé de conserver la dent traumatisée. Un suivi clinique et radiographique a donc été fait périodiquement pour surveiller le développement de la dent.
Une semaine plus tard, la muqueuse était presque guérie et la dent présentait une légère mobilité. Aucune altération n'était apparente à la radiographie. Douze mois après le traumatisme, l'examen clinique n'a révélé aucune décoloration de la couronne dentaire, ni aucune douleur, et les caractéristiques de la muqueuse étaient normales (ill. 2a). L'examen radiographique n'a montré aucune altération (ill. 2b).

Ill. 2 : Vues clinique et radiographique, un an après le traumatisme : a) l'examen clinique montre une muqueuse normale et l'absence de décoloration de la couronne dentaire; b) l'examen radiographique présente des caractéristiques normales.
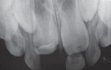
Quatre ans plus tard, l'examen radiographique a révélé des signes d'altération du germe de l'incisive centrale supérieure droite permanente (ill. 3), et les parents ont été informés des altérations morphologiques dans la dent permanente.
Au moment de l'examen clinique effectué 6 ans après le traumatisme, l'incisive centrale supérieure droite permanente avait fait éruption dans la cavité buccale (dent 11) et présentait des signes de malformation, de décoloration et de dilacération de la couronne (ill. 4a et 4b). Ces défauts ont été restaurés avec une résine composite photopolymérisable.

Ill. 3 : Examen radiographique 4 ans après le traumatisme dentaire, montrant des signes d'altération du germe de l'incisive centrale supérieure droite permanente.

Ill. 4 : Malformation coronaire des dents permanentes : a) vue intrabuccale montrant une hypoplasie de l'émail sur l'incisive centrale supérieure droite permanente et une hypoplasie circulaire de l'émail sur l'incisive centrale gauche permanente; b) vue intrabuccale montrant la dilacération de la couronne de la dent 11 et la décoloration.
Discussion
Pour traiter les traumatismes avec intrusion des dents primaires, il faut d'abord déterminer la relation entre les dents primaires et les dents permanentes2-4,17,18. Selon la direction dans laquelle la structure dentaire a été déplacée, le traitement peut consister, soit à attendre la rééruption spontanée de la dent, soit à extraire la structure par voie chirurgicale. Ainsi, si l'apex a été déplacé en direction ou au travers de la plaque labiale, on favorise la rééruption spontanée de la dent19,20. Si l'apex a été déplacé en direction du germe de la dent permanente, la dent devrait être extraite8,20. La principale préoccupation doit être de perturber le moins possible le développement des dents permanentes8.
Dans le cas présent, plusieurs facteurs ont influencé la décision de repositionner et de conserver la dent traumatisée : le court délai s'étant écoulé entre le traumatisme et la consultation (20 minutes), le désir de la famille de conserver la dent faisant éruption et l'âge du patient.
La luxation en intrusion d'une incisive primaire provoque souvent l'enfoncement profond de la dent dans l'os alvéolaire et l'envahissement du follicule du germe permanent qui se situe très près de la racine de l'incisive primaire en direction palatine ou linguale21 et elle peut aussi, suivant la gravité de l'intrusion, détruire la matrice de l'émail22,23. Comme les améloblastes sont irremplaçables et qu'il n'y a plus aucune division cellulaire lorsque la formation de l'émail est terminée, il est probable que le traumatisme causera l'arrêt localisé du développement de la couronne24.
La gravité de l'atteinte de la dent permanente dépend également du stade de formation de la couronne. Une coloration blanche est le résultat du dépôt accéléré de minéraux causé par le traumatisme durant le stade de maturation du développement de l'émail. Les colorations brun jaunâtre sont dues à l'incorporation de produits de dégradation de l'hémoglobine à la suite d'un saignement dans la zone périapicale. La destruction des améloblastes dans l'épithélium de l'émail actif cause une hypoplasie de l'émail7,25. Dans le cas présent, l'arrêt partiel du développement de la couronne a provoqué une malformation coronaire, une hypoplasie de l'émail et la dilacération de la couronne de la dent 11.
L'âge du patient au moment du traumatisme explique les séquelles observées dans les dents permanentes. Le germe des incisives centrales supérieures permanentes se forme durant la 20e semaine de grossesse et la calcification commence entre l'âge de 3 à 4 mois26. Les traumatismes buccofaciaux subis à 14 mois, comme dans le cas présent, peuvent donc causer décoloration et malformation. Des malformations dentaires graves dues à des traumatismes subis à cet âge ont été décrites dans la littérature27,28.
Les lésions traumatiques exigent un suivi rigoureux pour éviter tout problème qui pourrait causer des dommages dans les dents permanentes en formation, et le cas présenté illustre bien l'importance d'un suivi régulier. Il est notamment recommandé d'obtenir des radiographies avant l'éruption de la dent pour favoriser le dépistage et le traitement précoces de toute anomalie sévère du développement.
En ce qui a trait à la malformation du germe de la dent permanente, décrite dans cet article, des études antérieures4,5,7,20,27,29 corroborent notre conclusion selon laquelle les lésions en intrusion sont la cause la plus fréquente de ces anomalies. Cependant, les malformations coronaires accompagnées d'hypoplasie de l'émail n'avaient pas jusque-là été classées comme des anomalies du développement. Turgut et ses collègues29 ont récemment décrit un cas inhabituel de développement anormal d'une incisive permanente qui n'avait pas fait éruption, à la suite d'un traumatisme de l'incisive primaire – un cas comparable à celui présenté ici. Ces auteurs ont fait mention d'une hypoplasie de l'émail avec malformation coronaire. Le type de traumatisme des dents primaires combiné à l'âge de l'enfant au moment du traumatisme pourrait donc être un indicateur du risque de lésions secondaires subséquentes. D'où l'importance d'obtenir une évaluation et une documentation précises du traumatisme et, dans le cas plus particulièrement des traumatismes avec intrusion chez des enfants de 1 à 3 ans, nous recommandons un suivi régulier, incluant des radiographies avant l'éruption de la dent, pour assurer le dépistage et le traitement précoces de toute anomalie sévère possible du développement.
LES AUTEURS
Références
- Forsberg CM, Tedestam G. Traumatic injuries to teeth in Swedish children living in an urban area. Swed Dent J. 1990; 14(3):115-22.
- Cunha R F, Pugliesi DM, de Mello Vieira AE. Oral trauma in Brazilian patients aged 0-3 years. Dent Traumatol. 2001;17(5):210-2.
- Cardoso M, de Carvalho Rocha MJ. Traumatized primary teeth in children assisted at the Federal University of Santa Catarina, Brazil. Dent Traumatol. 2002;18(3):129-33.
- Holan G, Ram D, Fuks AB.The diagnostic value of lateral extraoral radiography for intruded maxillary primary incisors. Pediatr Dent. 2002;24(1):38-42.
- Flores MT. Traumatic injuries in the primary dentition. Dent Traumatol. 2002;18(6):287-98.
- Arenas M, Barbería E, Lucavechi T, Maroto M. Severe trauma in the primary dentition — diagnosis and treatment of sequelae in permanent dentition. Dent Traumatol. 2006;22(4):226-30.
- Diab M, elBadrawy HE. Intrusion injuries of primary incisors. Part III: Effects on the permanent successors. Quintessence Int. 2000;31(6):377-84.
- Andreasen JO. Injuries to the developing teeth. In: Andreasen JO, Andreasen FM, editors. Textbook and color atlas of traumatic injuries to the teeth. Copenhagen: Munksgaard; 1994. p. 457-94.
- Weiger R, Heuchert T. Management of an avulsed primary incisor. Endod Dent Traumatol. 1999;15(3):138-43.
- Kinoshita S, Mitomi T, Taguchi Y, Noda T. Prognosis of replanted primary incisors after injuries. Endod Dent Traumatol. 2000;16(4):175-83.
- Dewhurst SN, Mason C, Roberts GJ. Emergency treatment of orodental injuries: a review. Br J Oral Maxillofac Surg. 1998;36(3):165-75.
- Walker A, Brenchley J. It's a knockout: survey of the management of avulsed teeth. Accid Emerg Nurs. 2000;8(2):66-70.
- Diab M, elBadrawy HE. Intrusion injuries of primary incisors. Part I. Review and management. Quintessence Int. 2000;31(5):327-34.
- Diab M, elBadrawy HE. Intrusion injuries of primary incisors. Part II. Sequelae affecting the intruded primary incisors. Quintessence Int. 2000; 31(5):335-41.
- Dummett CO Jr. Dental management of traumatic injuries to the primary dentition. J Calif Dent Assoc. 2000;28(11):838-45.
- García-Godoy F, Pulver F. Treatment of trauma to the primary and young permanent dentitions. Dent Clin North Am. 2000;44(3):597-632
- Llarena del Rosario ME, Acosta Alfaro VM, García-Godoy F. Traumatic injuries to primary teeth in Mexico City children. Endod Dent Traumatol. 1992;8(5): 213-4.
- Fried I, Erickson P. Anterior tooth trauma in the primary dentition: incidence, classification, treatment methods, and sequelae: a review of the literature. ASDC J Dent Child. 1995;62(4):256-61.
- Borum MK, Andreasen JO. Sequelae of trauma to primary maxillary incisors. I. Complications in the primary dentition. Endod Dent Traumatol. 1998;14(1):31-44.
- Holan G, Ram D. Sequelae and prognosis of intruded primary incisors: a retrospective study. Pediatr Dent. 1999;21(4):242-7.
- Zilberman Y, Fuks A, Ben Bassat Y, Brin I, Lustmann J. Effect of trauma to primary incisors on root development of their permanent successors. Pediatr Dent. 1986;8(4):289-93.
- MacGregor SA. Manangement of injuries to deciduous incisors. J Can Dent Assoc. 1969;35(1):26-34.
- von Arx T. Developmental disturbances of permanent teeth following trauma to the primary dentition. Aust Dent J. 1993;38(1):1-10.
- Andreasen JO, Sundström B, Ravn JJ. The effect of traumatic injuries to primary teeth on their permanent successors. I. A clinical and histologic study of 117 injured permanent teeth. Scand J Dent Res. 1971;79(4):219-83.
- Van der Linden F. Some general aspects of the normal development of the dentition. In: Development of the dentition. Chicago: Quintessence Publishing Co; 1983. p. 59-69.
- Sennhenn-Kirchner S, Jacobs HG. Traumatic injuries to the primary dentition and effects on the permanent successors — a clinical follow-up study. Dent Traumatol. 2006;22(5):237-41.
- Ravn JJ. Sequelae of acute mechanical traumata in the primary dentition. A clinical study. ASDC J Dent Child. 1968;35(4):281-9.
- Kramer PF, Zembruski C, Ferreira SH, Feldens CA. Traumatic dental injuries in Brazilian preschool children. Dent Traumatol. 2003;19(6):299-303.
- Turgut MD, Tekçiçek M, Canoglu H. An unusual developmental disturbance of an unerupted permanent incisor due to trauma to its predecessor — a case report. Dent Traumatol. 2006;22(5):283-6.